
Группа компаний
Темы лекций подобраны с учётом существующих современных проблем в хирургической стоматологии и имплантологии

26-27 апреля 2025 г.
10:00 - 19:00

Санкт-Петербург
Cosmos Saint-Petersburg Pulkovskaya Hotel
площадь Победы, 1

35 000 Р до 26 марта
Анастасия
Смолякова
Врач стоматолог-хирург, ортопед.
Специализация:
эстетическая стоматология, дентальная имплантация, специализируется на пластике мягких тканей.
С 2007 года регулярно повышает квалификацию на международных симпозиумах и тематических курсах.
Проходила обучение в Испании, Италии, Германии, США, Франции.
Занимается активной популяризацией методов периопластики на тематических интернет-ресурсах.
Читала лекции в 11 странах и 38 городах
Пулат
Кочкаров
Врач стоматолог-ортопед
Master of Science in Dental Sciences (MSc).
Академический эксперт в области гнатологии и междисциплинарной стоматологии (Дунайский университет в Кремсе, Австрия).
Руководитель «Клиники функциональной стоматологии доктора Кочкарова».
Руководитель «Фрезерного центра CAD CAM 3D».
Прошёл обучение:
«Biomechanics», Kois Center, Seattle, USA.
«Cllones. Digital Workflow By Paulo Kano", Sao Paulo, Brazil.
«Practice of occlusion and Ceramo-Metal Course» Prof. Masahiro Kuwata, Tokyo.
«Окклюзия Дисфункция ВНЧС. Орофациальная боль», Jeffrey Okeson.
Михаил
Дзюба
Врач хирург-имплантолог
Кандидат медицинских наук, главный врач и руководитель «Dziuba Implant Studio», опыт работы более 20 лет.
Действующий член ЕАО (Европейской ассоциации остеоинтеграции).
Специалист в области реконструктивной дентал-альвеолярной хирургии и цифровой имплантологии.
Автор прогрессивной концепции (ADI concept) в области имплантологии.
Имеет 23 печатные работы, 2 авторских патента на изобретение.
Активный участник научных конференций, семинаров и симпозиумов, проходящих как на территории стран СНГ, так и за границей.
Артавазд
Зограбян
Стоматолог-хирург, имплантолог, пародонтолог
Искусный клиницист. Специалист в области хирургии десны. Признанный специалист в области имплантологии и пародонтологии. В совершенстве владеет эксклюзивными методиками лечения рецессии десны и восстановления дефицита костной ткани. Первым в РФ прошёл полный курс обучения в Германии у профессора Кюри по теме «Восстановление костной ткани в имплантологии».
Константин
Юшков
Стоматолог-ортопед, хирург-имплантолог
Стаж практики 10 лет.
Закончил Пермский государственный медицинский университет им. ак. Е.А. Вагнера в 2013 г.
Доктор специализируется на ортопедических конструкциях любой сложности.
Ильгам
Уразбахтин
Стоматолог-хирург, челюстно-лицевой хирург
Заведующий хирургическим отделением клиники «АГ Фабер Дентаплант».
Опыт работы в дентальной имплантологии 20 лет.
Отличник здравоохранения РБ, Заслуженный врач РБ
Денис
Сучков
Хирург-имплантолог-ортопед
25 лет опыта работы.
Врач высшей категории.
Главный врач и основатель SDS Clinic, вошедшей в ТОП-5 клиник России по версии журнала Startsmile.
Стоял у истоков развития методик All-on-4, Trefoil и Zygoma в России и изучал их непосредственно у создателей – португальского стоматолога Пауоло Мало (2008 г.), Рубена Даво (2012 г.), Шанталь Малеве, Энрико Альярди (2013 г.), Томас Альбрекстон (2010 г.), Карл Е. Миш (2008 г.), Палаччи Патрик (2010 г.), Франк Ренуар (2010 г.), Деннис Тарноу, Иштван Урбан (2014 г.), Масахиро Кувата (2014 г.), Даниель Бузер.
Клинический эксперт и лектор учебного центра Nobel Biocare Russia.
Более 10 лет преподавал на отделении «Ортопедическая стоматология» в медицинском колледже №3.
Постоянный участник серии просветительских передач «Полезная консультация» на телеканале «Санкт-Петербург».
Автор и соавтор десятков научных работ и статей для журналов Dental Magazine, «Институт стоматологии» и др.
Награжден тремя государственными медалями за заслуги в медицине.
Автор двух патентов на медицинские изобретения.
Андрей
Калайдов
Хирург-имплантолог
Старейший российский член Европейской Ассоциации Остеоинтеграции. Специализируется на вертикальной реконструкции кости.
Давид
Авшаров
Хирург-имплантолог, пародонтолог
Стоматолог-хирург, пародонтолог, стоматолог-имплантолог. Москва. Директор клиники «Стоматология на Таганке».
Стаж 26 лет
Татьяна
Ковалёва
Хирург, имплантолог, пародонтолог
Специализируется в области пластики мягких тканей вокруг зубов и имплантатов, также проводит объёмные операции по костнопластическим операциям. Является участником международной экспертной группы MEET MIS.
Стаж более 15 лет
СУББОТА
26
АПРЕЛЯ
10:00 - 11:20
Константин Юшков
11:20 - 11:50
13:10 - 14:10
15:30 - 16:00
16:00 - 17:20
Анастасия Смолякова
ВОСКРЕСЕНЬЕ
27
АПРЕЛЯ
10:00 - 11:20
Андрей Калайдов
11:20 - 11:50
13:10 - 14:10
14:10 - 15:30
Денис Сучков
15:30 - 16:00
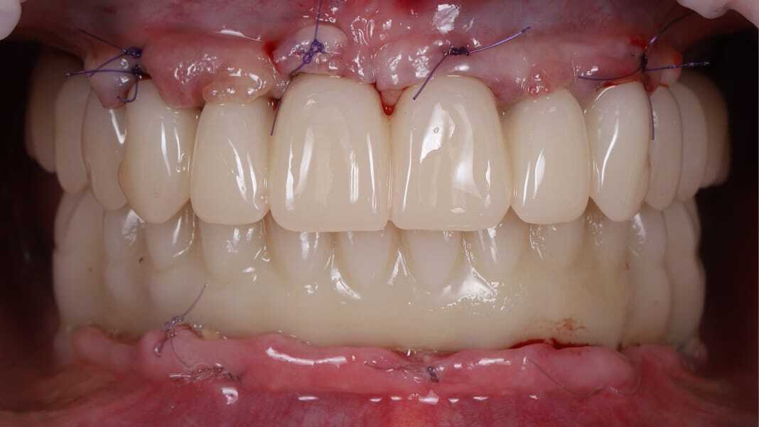
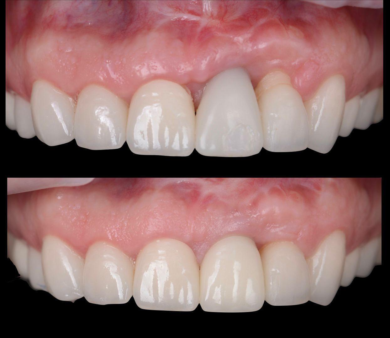
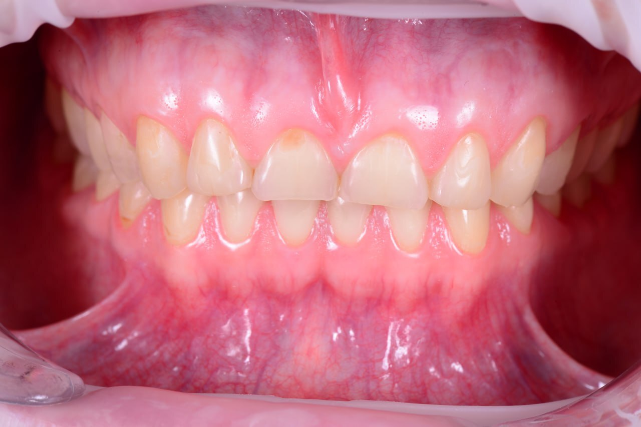
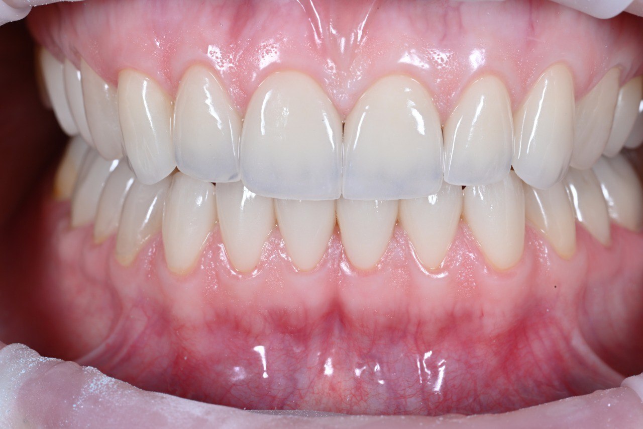
Константин Олегович Юшков
Планирование от результата. Выбор количества опор и материала постоянной конструкции. Работа с мягкими тканями на этапе провизорных.


До
После
Цифровые протоколы немедленной нагрузки с умеренной степенью атрофии






Давид Евгеньевич Авшаров
Современные концепции имплантологического лечения позволяют добиваться предсказуемого результата в большинстве клинических ситуаций. Однако с течением времени сохранение стабильного результата после лечения становится все более актуальным с каждым годом функционирования установленного и отпротезированного имплантата.
После бума имплантации, пришедшегося на конец XX века, начало XXI века продемонстрировало новый комплекс вопросов, возникающих при непонимании нюансов или пренебрежении некоторыми аспектами при ранее проведённом лечении. Одним из самых печальных и «непредсказуемых» осложнений является периимплантит.



Автор доклада поделится квинтэссенцией знаний, полученных за 10 последних лет на многочисленных курсах и мастер-классах у ведущих мировых специалистов, специализирующихся на лечении периимплантитов, проведет разбор клинических случаев, представит своё видение лечения данного осложнения.

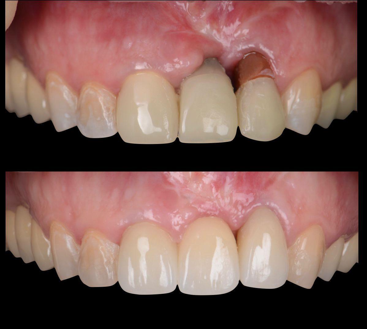
Устранение эстетических осложнений в области имплантатов. Преимущества методики VISTA
Лекция посвящена современным подходам к коррекции эстетических недостатков в области мягких тканей вокруг зубных имплантатов. Будет рассмотрена методика VISTA (Vertical Incision Subperiosteal Tunnel Access), как минимально инвазивный способ работы с мягкими тканями. Обсудим ключевые преимущества: снижение травматичности, высокую предсказуемость результатов и улучшение эстетики в зонах улыбки. Особое внимание уделим выбору донорских материалов, работе с сосудистой сетью и нюансам заживления. Лекция будет сопровождаться клиническими примерами и практическими рекомендациями для применения метода в повседневной практике.


До
После
Осложнение операции открытого синус-лифта в амбулаторной практике стоматолога хирурга-имплантолога в виде верхнечелюстного синусита хоть и встречаются редко, но всегда запоминаются и выбивают врача из колеи повседневной работы.
Докладчик предложит алгоритмы принятия решения в случае получения осложнения.





Пулат Гулмурзаевич Кочкаров
Современные подходы в диагностике и лечении нарушений окклюзии и функциональных расстройств ВНЧС в контексте концепции Рудольфа Славичека
Для специалистов в области ортодонтии и ортопедии важна правильная диагностика и лечение функциональных расстройств ВНЧС. Концепция Рудольфа Славичека предлагает эффективные методы диагностики, включая пальпацию, кондилографию и окклюзиограммы, которые помогают выстроить индивидуальный план лечения.
Важным элементом является сплинт-терапия и правильный переход от шин к брекетам, что требует слаженной работы ортопеда и ортодонта. В докладе также будут рассмотрены клинические примеры и цифровые модели для улучшения лечения.





Артавазд Гагикович Зограбян
В данный момент представлено множество хирургических методик для восстановления дефекта слизистой оболочки, у клинициста часто возникает вопрос: «Какой метод выбрать?»
Также клиническая вариация дефекта многочисленна. У практикующего специалиста возникает «ступор»: какой дефект лечить вообще, какой дефект лечить в первую очередь, а какой оставить в связи с недостатком тканей нёба?
Мой доклад ответит на эти и другие вопросы.



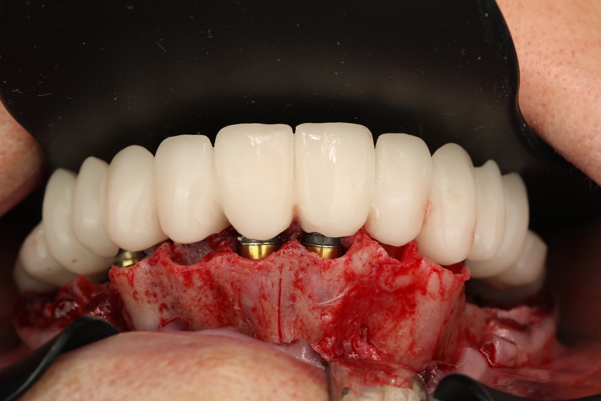
Татьяна Демьяновна Ковалёва

Имплантация. Принципиальное значение костной и мягкой тканей


До
После
Большое спасибо компании «Апекс» и её коллективу за хорошую организацию семинаров, тёплый приём и свежие знания, так нужные для специалистов.
Общения с коллегами всегда плодотворны!
Продолжаем сотрудничество.
Дмитрий Васильевич Заезжалкин
главный врач СПб Стом. Клиники «Доверие»
Организация как обычно прошла на лучшем уровне, прекрасная организация мероприятия прекрасные лектора, всё очень интересно и современно. Очень понравилась практическая часть, наличие всех материалов и оборудования.
Спасибо огромное всей команде «APEX». Все большие профессионалы, с которыми всегда приятно иметь дело.
Большое спасибо =)
Николай Сергеевич Горчаков
Уже не первый раз посещаю Балтийскую конференцию. Больше всего нравится, что из года в год темы не повторяются.
Разнообразие подходов к хирургическому и ортопедическому лечению пациентов позволяет работать не о одному шаблону, а использовать различные методики лечения пациентов.
Спасибо большое компании Апекс! Желаю и в дальнейшем радовать посещениями известных лекторов!
Тимур Олегович Михайлов
Конференция проведена на высшем уровне. Воды (как часто бывает) не было. Организаторы + лекторы показали настоящий профессионализм.
С удовольствием буду продолжать сотрудничество с Вашей компанией.
Дмитрий Валерьевич Корж
Организовано отлично. Всё чётко, приятная непринуждённая атмосфера. Лекторы высшего уровня, много клинических случаев, их анализ.
Большое спасибо за организацию данного мероприятия!
Елена Валентиновна Новикова
Понравилось всё, а особенно то, что лекторы подтвердили мои знания, и я ещё больше получила уверенности в себе!
Ксения Алексеевна
Кох
Заполните форму,
и мы свяжемся с Вами удобным Вам способом
40 000руб
Цена без скидки
При оплате после 26 марта 2025 года
(сумма за 1 участника)
35 000 руб
Цена до 26 марта
При оплате до 26 марта
(сумма за 1 участника)
37 000 руб
При оплате за 2-х докторов
Скидка без ограничений по срокам
(сумма за 1 участника)
Место проведения
Санкт-Петербург, площадь Победы, 1
Санкт-Петербург
ул. Седова, д. 11, к.2
1-й этаж - отдельный вход.
Метро: Елизаровская.
+7 981 163-68-05 Максим
+7 981 940-29-88 Варя
+7 911 989-94-32 Наталья
Узнавайте первыми о новых курсах
Имплантаияпри одновременном восстановлениигоризонтальных дефектов челюсти - не«сосидж»